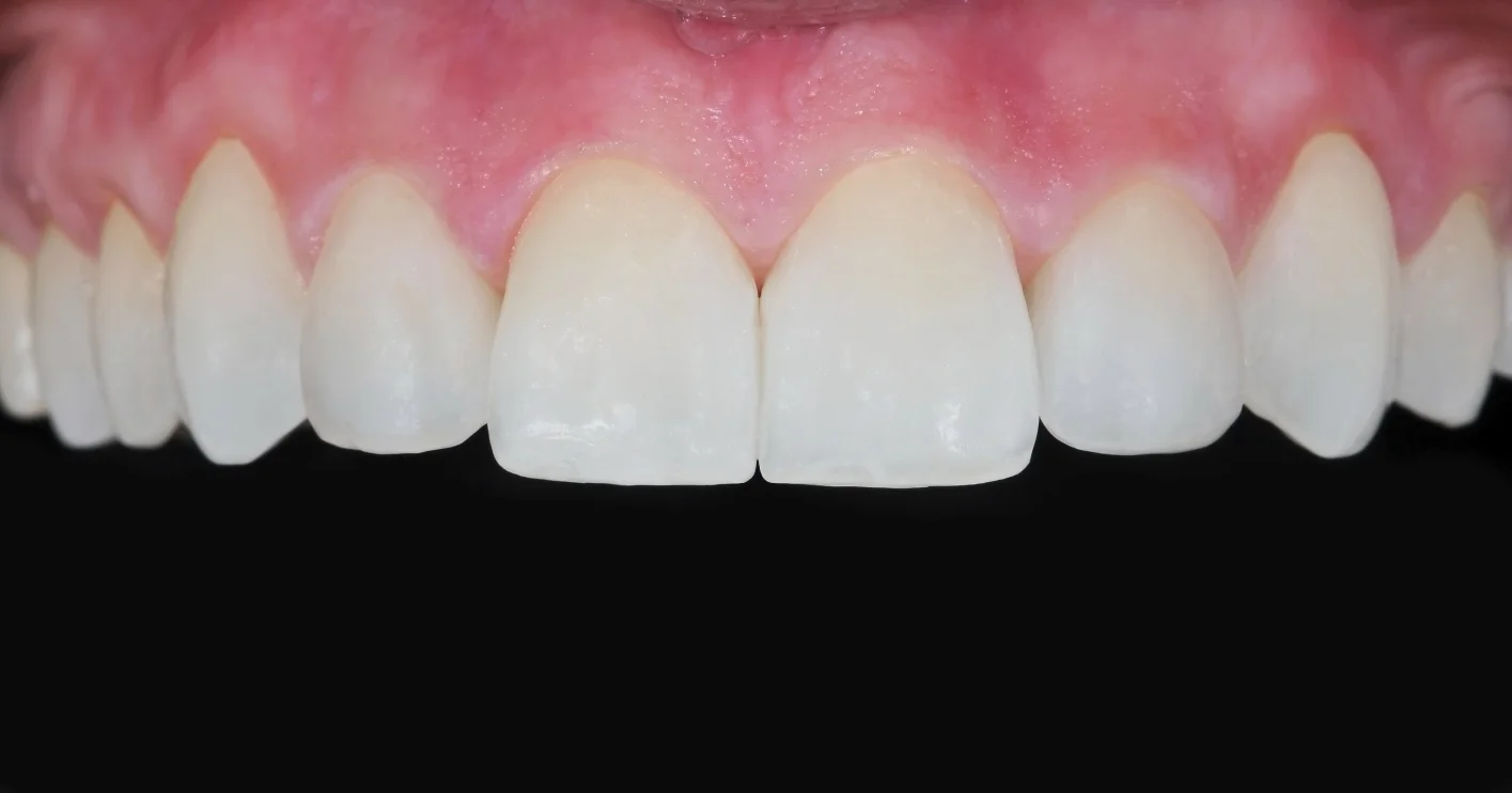
The new advancements in cosmetic dentistry had developed to the point that you shouldn’t have to hide your smile because of gaps, chips, stains, or misshapen teeth. With veneers , you can easily correct your teeth’s blemishes to help you have a more confident, beautiful smile. Veneers are natural in appearance, and are an excellent alternative for patients would like to make minor adjustments to the their smile.
Veneers are thin, custom-made shells made from tooth-colored materials (such as porcelain or ceramic) designed to cover the front side of your teeth. When placed, you’ll be pleased to see that veneers look like your natural teeth. While veneers are resist to staining the adjacent teeth are not. In order to maintain that optimum smile continued follow up care is strongly encouraged.
Contact us today to schedule your next appointment.
